لمینت دندان بهتر است یا ارتودنسی شفاف؟ مقایسه جامع لمینت دندان با ارتودنسی شفاف
لبخند، یکی از مهمترین ویژگیهای ظاهری انسان است که نقشی اساسی در روابط اجتماعی و اعتماد به نفس افراد دارد. داشتن دندانهایی مرتب و زیبا، میتواند لبخندی جذاب و دلنشین را به ارمغان آورد و کیفیت زندگی را به طور قابل توجهی ارتقا دهد.امروزه، روشهای مختلفی برای اصلاح مشکلات دندان و ارتقای زیبایی لبخند وجود دارد. دو روش محبوب در این زمینه، لمینت یا ارتودنسی هستند. انتخاب بین این دو روش میتواند چالشبرانگیز باشد، زیرا هر کدام مزایا و معایب خاص خود را دارند. کلینیک دکتر سیروس قاسمی در شیراز، یکی از مراکز تخصصی ارائه دهنده خدمات دندانپزشکی، از جمله لمینت دندان و ارتودنسی نامرئی میباشد. دکتر قاسمی، متخصص دندانپزشکی زیبایی و ترمیمی، با سالها تجربه و مهارت، خدمات با کیفیتی را به بیماران خود ارائه میدهد. در انتخاب بین لمینت و ارتودنسی، اطلاع از هزینه لمینت دندان در شیراز میتواند به مقایسه بهتر این دو روش از نظر اقتصادی کمک کند. در این کلینیک از جدیدترین روشها و تجهیزات برای انجام لمینت و ارتودنسی استفاده میشود و تمامی مراحل درمان تحت نظارت انجام می گردد. در این مقاله به بررسی تفاوتهای کلیدی بین لمینت و ارتودنسی وموارد مناسب برای استفاده از هر روش میپردازیم.
فهرست مطالب
Toggleلمینت یا ارتودنسی ، کدام بهتر است؟
انتخاب بین لمینت و ارتودنسی بستگی به نیازها و اهداف شما دارد. لمینت بیشتر به هدف درمان شکستگی، فرسودگی یا رنگ نامطلوب روی دندان طراحی شده است. اگر به دنبال نتیجه فوری هستید، لمینت انتخاب بهتری است و تنها با ۳ جلسه ویزیت دندانپزشک روند درمان کامل خواهد شد و به مراقبت های بیشتر نیاز ندارد. از سوی دیگر، ارتودنسی برای از بین بردن نامنظمی و نامرتبی دندانهای فک بالا و پایین مورد استفاده قرار میگیرد. این روش پروسهای طولانیتر از لمینت است و ممکن است نیاز به مراقبتهای منظم داشته باشد. به طور کلی، اگر میخواهید مشکلات دهان و دندانها و فک تان به خوبی رفع شود، لازم است از ارتودنسی استفاده کنید. اما اگر تمایل دارید فقط ظاهر دندانهایتان تغییر کند، میتوانید از لمینت دندان استفاده کنید. بهتر است با دندانپزشک خود مشورت کنید تا بتوانید بهترین تصمیم را بر اساس نیازها و شرایط خاص خود بگیرید.

لطفا در صورت تماس با مطب ذکر کنید که از طریق سایت تماس گرفته اید
بیشتر بخوانید: آیا فرم لب ها بعد از ارتودنسی تغییر می کند؟
تفاوت لمینت و ارتودنسی
لمینت و ارتودنسی دو روش مختلف در زمینه بهبود زیبایی و سلامت دندانها هستند. هر کدام از این روشها دارای ویژگیها، مزایا و محدودیتهای خاص خود هستند.
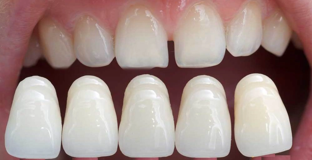
لمینت دندان: لمینتها پوششهای نازک سرامیکی یا کامپوزیتی هستند که بر روی سطح دندان قرار میگیرند. این پوششها معمولاً برای رفع عیوب ظاهری مانند تغییرات رنگ، شکل غیرطبیعی، فاصله بین دندانها و تراکم نامناسب استفاده میشوند. لمینتها میتوانند زیبایی طبیعی دندان را بازسازی کنند و به دندانها ظاهری صاف و درخشان بدهند. این روش زودبازده است و در کمترین زمان نتایج آن قابل مشاهده است. همچنین هزینه لمینت دندان معمولا کمتر از ارتودنسی است. با این حال، لمینتها نیاز به تعویض دورهای دارند و ممکن است باعث حساسیت دندان شوند.
ارتودنسی: ارتودنسی برای اصلاح موقعیت دندانها و فکها استفاده میشود. این روش یک پروسه بلندمدت است که ممکن است مدت طولانیتری برای رسیدن به نتایج نهایی نیاز داشته باشد. ارتودنسی میتواند به اصلاح عیوب ارتودنسی کمک کند، از جمله اضطراب فکی، دندانهای فشرده یا فاصلهدار، و مشکلات گاز و جویدن. همچنین ماندگاری این روش بیشتر است و معمولاً مشکلات دندان در طول زمان بهبود مییابند. با این حال، ارتودنسی ممکن است باعث ناراحتی یا درد موقت شود و نیاز به مراقبتهای دندانی منظم دارد.
برای انتخاب مناسب بین این دو روش، بهتر است با دندانپزشک مشورت کنید. دندانپزشک میتواند با توجه به وضعیت دندانها و نیازهای شما، روش مناسب را پیشنهاد کند. همچنین، ممکن است بتوانید از هر دو روش به طور همزمان استفاده کنید. برای مثال، ممکن است از ارتودنسی برای اصلاح موقعیت دندانها استفاده کنید و سپس لمینت را برای بهبود زیبایی دندانها اضافه کنید. در نهایت، انتخاب به نیازها، اهداف و بودجه شما بستگی دارد.
بیشتر بخوانید: هزینه ارتودنسی نامرئی در سال ۱۴۰۳ چقدر است؟
چه کسانی کاندیدای مناسب لمینت دندان هستند؟
کاندیدای مناسب برای لمینت دندان عبارتند از:
- افرادی که شکستگی های جزئی روی دندانهای خود دارند و دندانهایشان لب پر شده و یا ترک خورده است.
- دندانهایی که به شدت داری لک هستند و دندانهای بد رنگ، زرد دارند.
- افرادی که در بین دندانهایشان فاصله وجود دارد.
- افرادی که سلامت کلی دهان و دندان خوبی دارند.
- دندانهایی که مینای کافی دارند.
- افرادی که دندانهایشان جزئی کج شده است.
چه کسانی کاندیدای مناسب ارتودنسی دندان هستند؟
کاندیدای مناسب برای ارتودنسی دندان عبارتند از:
- افرادی که ظاهر دندان برایشان مهم است و به مرتب بودن دندان خود اهمیت میدهند.
- کسانی که دارای ناهنجاریهای فک و صورت هستند مثل کراس بایت یا اوربایت.
- افرادی که به دلیل داشتن مشکلات دندانی، دارای ناهنجاریهای تکلمی هستند.
- افرادی که دارای فاصله در میان دندانهای خود هستند.
- ازدحام بیش از حد دندان ها در فک بالا و یا فک پایین.
- انحراف و کج بودن دندان ها.
- وجود دندان نیش نهفته.
- کوچک بودن فضای فک.
- کج شدن دندان های نیش به سمت سقف دهان و یا گونه ها.
بیشتر بخوانید: کامپوزیت دندان جلو

مقایسه هزینه لمینت و ارتودنسی
با توجه به نیاز شما به مقایسه هزینههای لمینت دندان و ارتودنسی، در ادامه به بررسی تفاوتها و مزایا و معایب هر دو روش میپردازیم:
مزایا و معایب لمینت دندان
هزینه: معمولاً هزینه لمینت دندان کمتر از ارتودنسی است. همچنین هزینه لمینت دندان برای هر دندان جداگانه محاسبه میشود، در حالی که قیمت ارتودنسی برای هر فک محاسبه میشود.
مدت زمان درمان: لمینت دندان سریعتر انجام میشود، در حالی که دوره درمان ارتودنسی معمولاً ۱ سال و نیم تا ۳ سال طول میکشد.
کاربرد: لمینت دندان برای اصلاح رنگ، شکل و اندازه دندانها مناسب است. این روش بهبود ظاهر دندانها را فراهم میکند.
معایب: لمینتها نازکتر از دندانها هستند و ممکن است در صورت استفاده نادرست شکسته شوند.
مزایا و معایب ارتودنسی
هزینه: ارتودنسی به عنوان یک هزینه کلی محاسبه میشود و بستگی به مدتزمان درمان دارد
مدت زمان درمان: دوره درمان ارتودنسی معمولاً ۱ سال و نیم تا ۳ سال است. این روش برای درمان دندانهای نامنظم، فاصله بین دندانها و کجی شدید آنها مناسب است.
کاربرد: ارتودنسی بهبود ناهماهنگیهای دندان و اصلاح قرارگیری آنها در کنار یکدیگر را فراهم میکند. همچنین روی سلامت دهان و دندان تأثیرگذار است.
معایب: نیاز به مراجعات منظم به دندانپزشک برای تنظیم ابزارهای ارتودنسی دارد.

لمینت دندان بعد از ارتودنسی
میتوان لمینت دندان را به عنوان بخشی از درمان ارتودنسی در نظر گرفت. پس از اتمام درمان ارتودنسی، معمولاً توصیه میشود حداقل مدتی منتظر بمانید تا ساختار دندانها استحکام کافی را پیدا کند و بافتهایی که در طول ارتودنسی آسیب دیدهاند بهبود یابند. این زمان معمولاً بین ۶ تا ۱۲ ماه پس از برداشت بریکتها و سیمهای ارتودنسی است. درمان ارتودنسی باعث تغییر موقعیت دندانها میشود و پس از برداشت بریکتها، دندانها به مدتی نیاز دارند تا در موقعیت نهایی خود استحکام یابند و ساختار خود را حفظ کنند. در این مدت، بهتر است به توصیههای ارتودنتیست خود پایبند بوده و مراقبت کافی را از دندانهای خود به حساب آورید. همچنین، حضور در نوبتهای بعدی حداقل تا 6 ماه در دندانپزشکی الزامی است و این مسئله باید تا به وجود آمدن وضعیت ثابت دندانها و دستیابی به استحکام کافی ادامه داشته باشد. بعد از گذشت مدت زمان مورد نیاز، میتوانید با ارتودنتیست و یا دندانپزشک خود در مورد انجام لمینت دندان صحبت کنید. این مسئله به ویژگیهای دندانها، وضعیت عمومی دهان و توصیههای پزشک شما بستگی دارد. در برخی موارد، لمینت دندان ممکن است به عنوان بخشی از درمان ارتودنسی مورد استفاده قرار بگیرد تا بهبود ظاهر و آستانه رنگی دندانها انجام شود.
به نقل از وب سایت https://www.memorialdds.com:
اگر نگرانیهای شما در درجه اول مربوط به زیبایی است و مشکلات جزئی در تراز دندانهایتان دارید، ونیرها ممکن است سریعتر و مناسبتر باشند. با این حال، اگر مشکلات شما فراتر از زیبایی باشد، ممکن است ارتودنسی برای درمان جامع ضروری باشد.
نتیجه گیری
در نهایت، انتخاب بین لمینت و ارتودنسی به نیازها و ترجیحات فردی شما بستگی دارد. اگر به دنبال راه حلی سریع و زیبایی بیشتر هستید، لمینت میتواند گزینه مناسبی باشد. اما اگر به دنبال رفع مشکلات ساختاری و داشتن نتیجهای دائمی هستید، ارتودنسی انتخاب بهتری خواهد بود. در هر صورت، مشورت با یک دندانپزشک متخصص برای ارزیابی وضعیت دندانهای شما و انتخاب بهترین روش درمانی ضروری است. پیشنهاد ما به شما بهترین کلینیک دندانپزشکی شیراز یعنی دکتر سیروس قاسمی است.
لطفا در صورت تماس با مطب ذکر کنید که از طریق سایت تماس گرفته اید
سلام روز بخیر
ببخشید برای بستن فاصله بین فقط دوتا دندان ارتودنسی لازمه یا با لمینت یا کامپوزیت میشه درست کرد؟
سلام، روز شما بخیر بصورت کلی برای بستن فاصله بین دو دندان، چند روش مختلف وجود دارد:
ارتودنسی: این روش معمولاً زمانی استفاده میشود که فاصلهها بزرگتر هستند یا مشکلات بیشتری در تراز دندانها وجود دارد. ارتودنسی میتواند به تدریج دندانها را به محل صحیحشان حرکت دهد.
لمینت: این روش میتواند فاصلههای کوچکتر بین دندانها را پنهان کند و همچنین ظاهر زیبایی به دندانها ببخشد. لمینتها یک لایه نازک از پرسلین هستند که به سطح دندان چسبانده میشوند.
کامپوزیت: این روش نیز برای بستن فاصلههای کوچک مناسب است. در این روش، ماده کامپوزیت به دندانها اضافه میشود تا فاصله پر شود و شکل دندانها بهبود یابد.
و هر کدام از انتخاب این روش ها طبق صلاحدید دندانپزشک باید مشخص شوند.